A new smile design combines artistry and science to give you a healthy, vibrant smile makeover. The process begins with a smile design consultation to determine the best techniques and treatment to achieve your goals for teeth that are both beautiful and functional.
Please take some time to view our Smile Gallery and see how Dr. Brent Robinson has been giving Saginaw dental patients new, healthy, vibrant smiles.
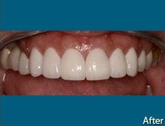
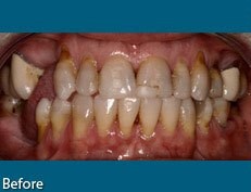
Case #1: This patient had severely broken-down teeth due to decay. A total of three teeth were lost due to the extent of decay. The three teeth were restored with dental implants. During the healing phase of the implant treatment, the remaining teeth were placed in provisional restorations to allow for decay removal and proper healing. A removable prosthesis was made to provide temporary tooth replacement. The implant crowns and prepared teeth were restored at the same time to allow maximum symmetry and color matching.
Case #2: This patient had cosmetic bonding done many years ago to try and correct the undersized peg laterals. His case was restored very conservatively by bleaching the teeth to improve the overall color and replacing the old, discolored bonding with porcelain veneers. The total treatment time was just over one month including the bleaching phase.
Case #3: This patient came to us with congenitally missing lateral incisors. Multiple restorative options were discussed and the patient elected to have the missing teeth replaced with bridges. Two separate all-ceramic bridges were fabricated. This treatment was accomplished in two visits.
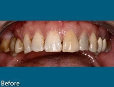
Case #4: This patient had a crown on her front tooth that was done many years ago. She complained of the color mismatch and the space that was present now. Her treatment consisted of cosmetic bonding and replacement of the older porcelain-to-metal crown with a newer all-ceramic crown. Just two small changes made all the difference in the world for her.
Case #5: This patient had previous crowns placed many years ago and one of her central incisors had a root fracture requiring removal. She chose to have a bridge placed to restore her smile. The tooth was extracted and the site was allowed to heal while she was placed in a provisional bridge. After the healing phase was complete, a new bridge was fabricated and her smile was restored and greatly improved cosmetically.
Case #6: This patient had multiple failing restorations and a desire to have a more attractive smile. The treatment was accomplished in two visits and included multiple all-ceramic restorations to replace the failed crowns and old fillings.
Case #7: This patient wanted to whiten and restore her teeth. She had significant variation in color and multiple failing and decayed restorations. Her treatment was completed in two phases and included replacing one posterior tooth with a bridge. All the teeth in the cosmetic area were restored with all-ceramic crowns, avoiding the dark line that is sometimes seen at the gum line with other types of crowns. The after photo shows what a difference the proper shape and a lighter shade can make.
Case #8: After many years of not liking the way her two front teeth looked, this patient decided to have them restored with a newer, more natural-looking material. Her treatment was completed in two visits and consisted of cosmetic bonding to the adjacent teeth to help achieve the ideal shape and proportions, and two all-ceramic crowns replacing the older, darker ones.
Case #9: This patient came to us after just having completed orthodontic treatment to properly align her teeth. Her chief complaint was wanting to have a whiter, more attractive smile. Her treatment included periodontal therapy to improve her gum tissue and replacing multiple failing restorations. She chose to replace the missing teeth with bridges. A four-unit bridge was placed on the patient’s right and left to restore the missing four teeth. The lower right missing teeth were left unrestored at the time. The anterior area was restored with all-ceramic crowns to give the most aesthetic result. This treatment was accomplished in less than three months.
Case #10:
After being unhappy with the spaces between his teeth, this patient decided to improve the appearance by having dental veneers placed. This allowed for a very conservative procedure to be done, only removing a small amount of tooth structure, and in some places, none at all. A total of eight veneers were placed to close the spaces and whiten his smile.